Данная работа относится к разделу комплексной реабилитации, так как включает в себя, как основную работу, ортодонтическую и ортопедическую подготовку под проведение ортогнатической хирургии.
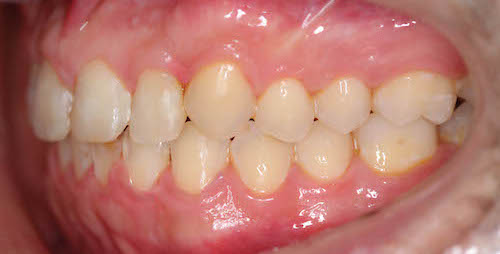
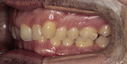
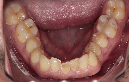
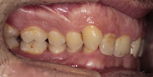
Основной проблемой у пациента была травматическая окклюзия в переднем отделе. Из-за разницы в размерах между верхней и нижней челюстью у пациенты сформировался глубокий травмирующий прикус. Ввиду чрезмерной нагрузки на фронтальный отдел передний зубы как верхней, а в большей степени нижней челюсти были стерты более 50%, появилась чувствительность, невозможность откусывать и пережевывать пищу.
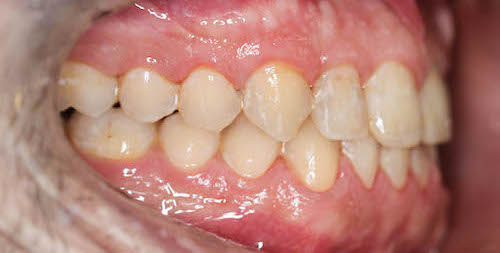
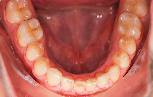
Мы подготовили зубные ряды с помощью брекетов на верхней и нижней челюсти, устранили все повороты, некорректные наклоны и завалы зубов. и через 12 месяцев от начала ортодонтического лечения провели операцию, направленную на изменение положения верхней и нижней челюсти. В итоге мы предотвратили прогрессирование стираемости зубов, обеспечили правильное распределение нагрузки между всеми зубами верхней и нижней челюсти, увеличили объем воздухоносных путей( так как нижняя челюсть была смещена вперед во время операции) и улучшили эстетические компоненты лица.
Ортодонтия, ортопедия: Денисова Екатерина
Челюстно-лицевая хирургия: Ляшев Илья Николаевич