Анастасия

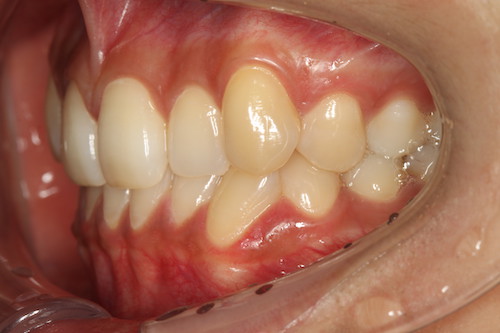
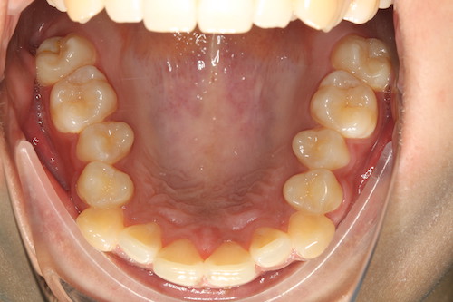
Пациентка обратилась с жалобами на неровное положение зубов и не эстетичность улыбки. Так как девушка очень любит улыбаться, проблема положения зубов была для нее крайне актуальной. С помощью наружных керамических брекетов за 16 месяцев лечения нашей команде удалость достичь прекрасного результата как с эстетической, так и с функциональной точки зрения. Что так же не маловажно. Так как в процессе лечения пациентка четко следовала нашим рекомендациям в рамках гигиены, во время лечения и после его окончания мы не столкнулись с проблемами изменения цвета зубов или появления кариеса. На сегодняшний момент времени наше общение не прекращается. Раз в 4-6 месяцев мы встречаемся в рамках динамического наблюдения, что позволяет нам контролировать и гарантировать успешный результат лечения.

do
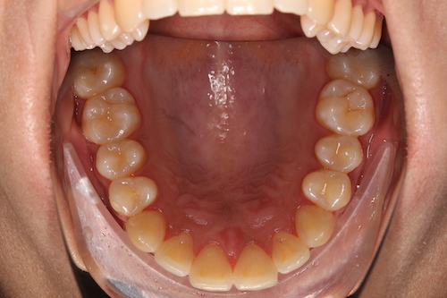
До
pole
После
Do
До
Posle
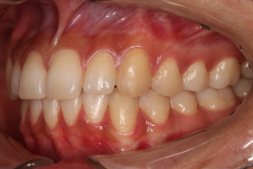
После
Do
До
ole
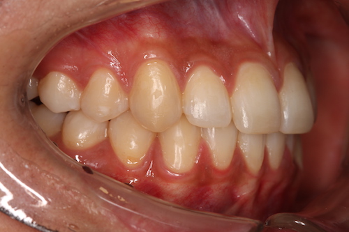
После
DO
До
Poslee
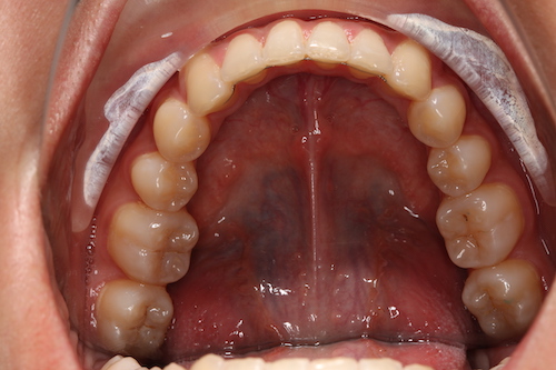
После