Антон

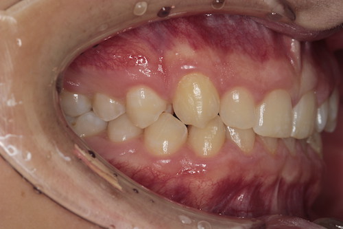
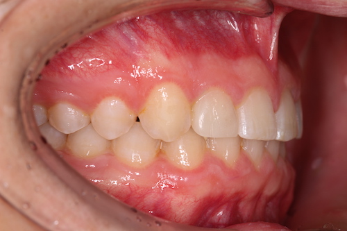
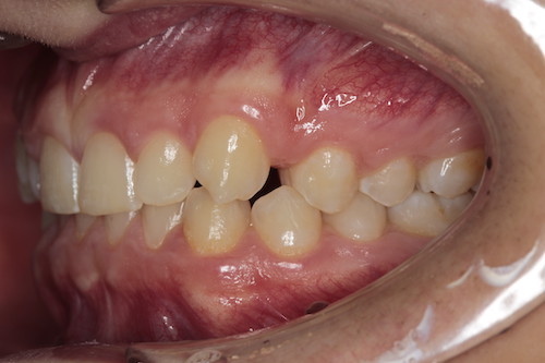
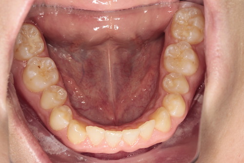
Частая ситуация, когда в общем все не плохо, но чего- то не хватает для идеала. Основной жалобой пациента было наличие выраженных промежутков на верхней челюсти, неровность положения зубов, глубокое перекрытие передних нижних резцов. Причина наличия промежутков заключалась в недостаточном размере по ширине боковых резцов верхней челюсти. именно поэтому после подъема высоты прикуса, нормализации наклонов зубов в переднем отделе, коррекции высоты перекрытия резцов, и доведение идеальных контактов в боковых отделах мы увеличили размер боковых резцов за счет композитного материала. Срок лечения 1 год.
 

d
До
После
После
d
До
p
После
D
До
p
После
d
До
p
После