Даниил

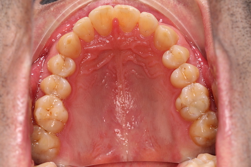
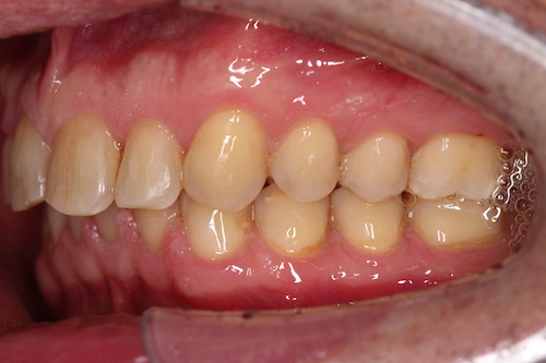
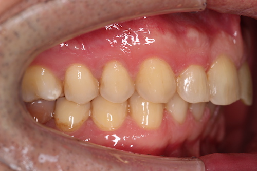
Здесь мы очень четко видим глубокое перекрытие верхними зубами нижние и травмирование десны неба при смыкании от нижних резцов. Такая ситуация в полости рта сложилась из-за давней травмы, плюс присутствует разница в размерах верхней и нижней челюсти. нижняя по размеру меньше. Конечно же в таких ситуация идеальным вариантом случит проведение челюстно-лицевой операции, но так как пациент отказался, пришлось выходить из ситуации другими способами. По итогу удалось поднять высоту прикуса, скорректировать чрезмерные наклоны зубов, закрыть большую щель между передними зубами и убрать травму десны. Самое приятное что такого результата мы добились с пациентом всего за год лечения.
 

d
До
p
После
d
До
p
После
d
До
p
После
d
До
p
После