Дмитрий

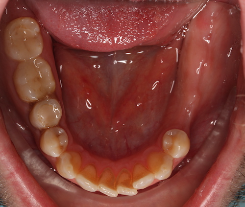
По терапевтически показаниям из-за осложнений кариеса в виде воспалений корней, пациенту удалили 3 зуба на нижней челюсти. К счастью, на сегодня существует оптимальный вариант замещения потерянных зубов дентальными имплантатами, что позволяет полностью восстановить жевательную эффективность за счет несъемного протезирования.

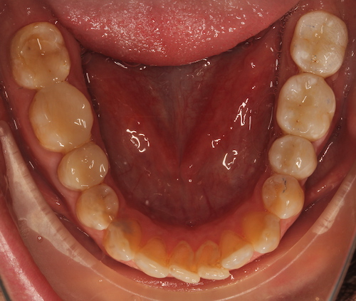
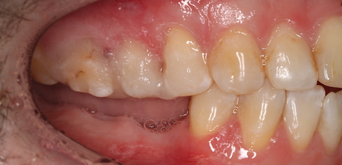
В данной клиническом случае пример выполнения безметалловых одиночных коронок с опорой на имплантаты. Благодаря высокой квалификации наших зубных техников из лаборатории «ФЦФ» мы через 2 недели после полного приживления имплантатов выполнили их нагрузку. Сложно отличить коронки от собственных зубов.

d
До
p
После
do
До
po
После