Любовь

Данной пациентки я выполнила итоговое протезирование на нижней челюсти и пока временное протезирование верхних зубов.

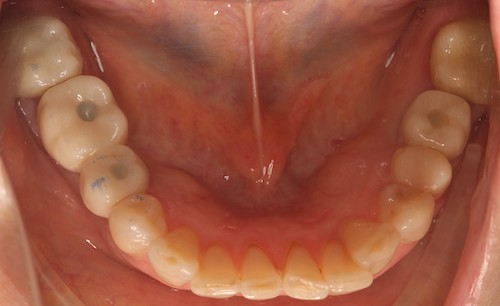
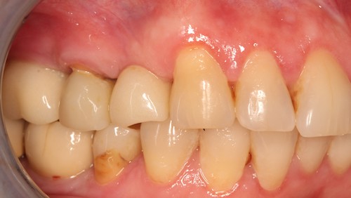
Пациентка обратилась с проблемой отсутствия зубов в боковом отделе и трудностями при пережевывании пищи. При этом решать вопросы с эстетическими нюансами фронтальных зубов пациентка совершенно не хотела, поэтому я и мои коллеги сконцентрировали свое внимание на задних зубах. 

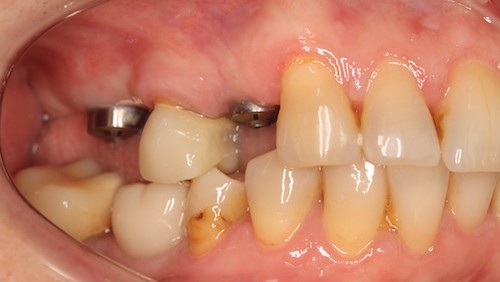
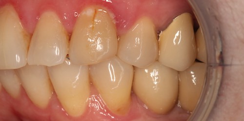
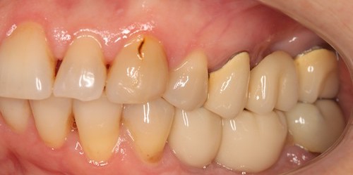
Ляшев Илья Николаевич успешно провел имплантацию 5 ед системы Astra Tech с одномоментным наращиванием костной ткани в области отсутствующих зубов. после приживления имплантов были выполнены временные коронки, а затем и постоянные как на имплантах, так и на собственных зубах. Еще предстоит работа с верхним зубным рядом, но уже сейчас получилось повысить качество пережевывания пищи.

d
До
p
После
d
До
p
После
d
До
p
После
d
До
p
После