Муххамед

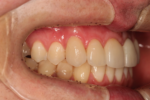
Данный клинический случай пример эстетической работы. Ранее у пациента было выполнено композитное наращивание центральных верхних резцов в другом ЛПУ. Отмечался дисколорит данных зубов и пациенту не нравилась их форма. Мы изготовили виниры на 6 зубов с измененной формой и размером. Наши зубные техники всегда очень ответственно и дотошно относятся к выполнению своей работы, поэтому результат всегда соответствует по цветовым характеристикам и выглядит очень естественно.
 

d
До
p
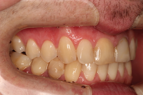
После
d
До
p
После