Перейти к основному содержанию
Главная
Направления
Вылечены
Полезное
Контакты
×
Поиск
Строка навигации
Главная
Мои пациенты
Полина
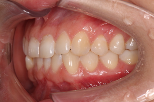
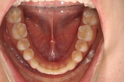
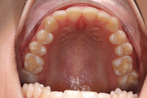
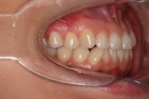
Полина
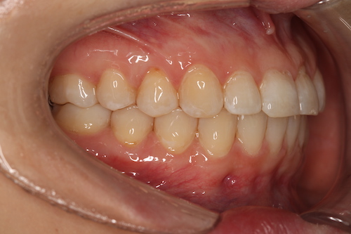
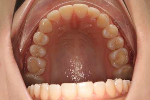
До
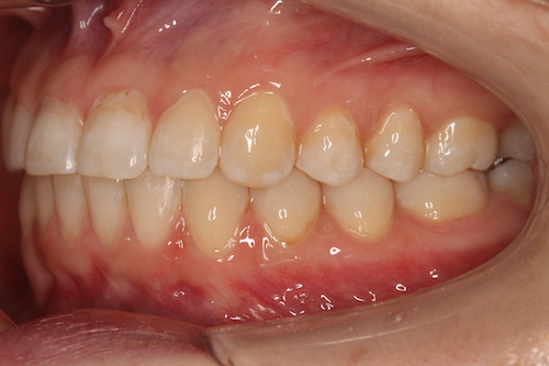
После
До
После
До
После
До
После
До
После
До
После
До
После
Ортодонтия
Главная
Направления
Вылечены
Полезное
Контакты
Dismiss mobile overlay area
Clear keys input element
Submit search
Open mobile overlay area