Вадим

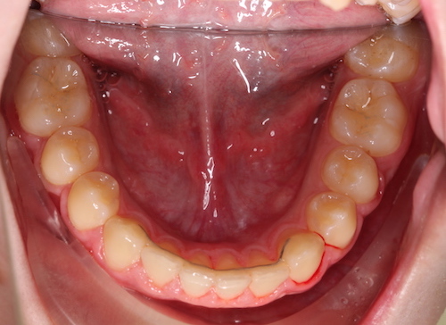
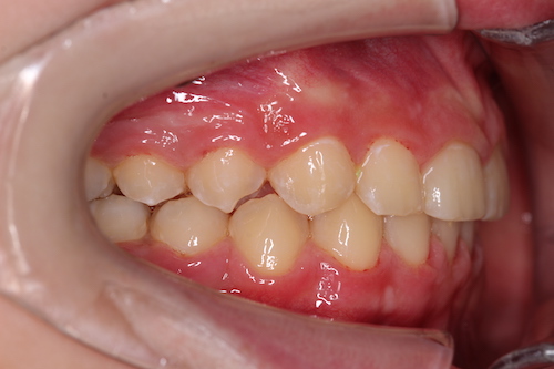
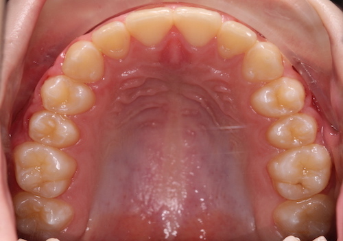
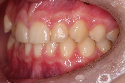
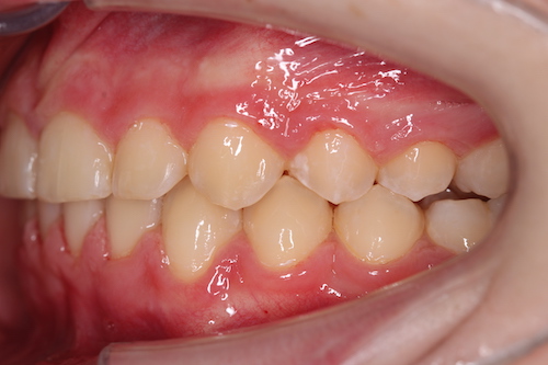
Важными зубами в нашей зубочелюстной системе являются клыки. Если эти зубы стоит где-то в стороне и не контактируют друг с другом в процессе жевания, можно сходу загадывать себе проблемы с зубами на будущее. Отсутствие так называемой «клыковой направляющей» очень опасно с точки зрения появлений клиновидных дефектов, рецессий, сколов зубов, повышенной стираемостью, проблемами с височно-нижнечелюстным суставом. В данном клиническом случае мы предотвратили появление проблем с зубами на всю жизнь. Приятно это делать в подростковом возрасте. Срок лечения 1 год
 

d
До
p
После
d
До
p
После
d
До
p
После
p
До
p
После