Валентин

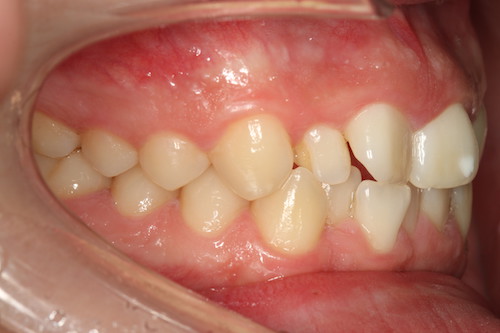
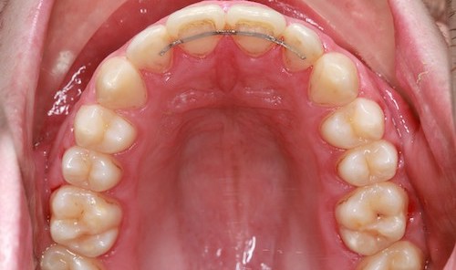
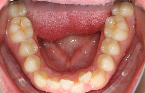
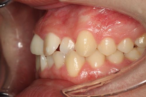
Родители пациента, наши коллеги по административной работе компании Dentell, привели сына с просьбой сделать улыбку к 18ти летию красивой и здоровой. Поставив керамические наружные брекеты на верхний и нижний зубные ряду через 15 месяцев упорной работы как с нашей стороны, так и со стороны пациента ( хорошая гигиена, ношение «резинок» на заключительных этапах лечения), мы достигли нужного результата. Родители остались довольны, а пациент приобрёл красивую и здоровую улыбку на всю жизнь.

d
До
p
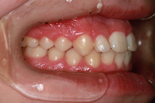
После
d
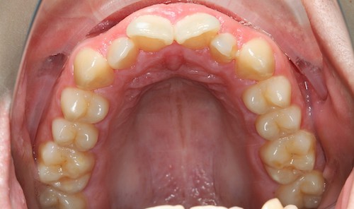
До
p
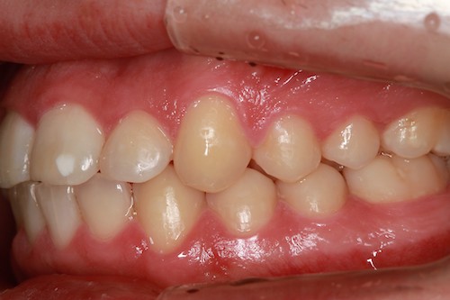
После
d
До
p
После
d
До
p
После