Юлия

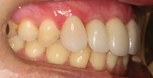
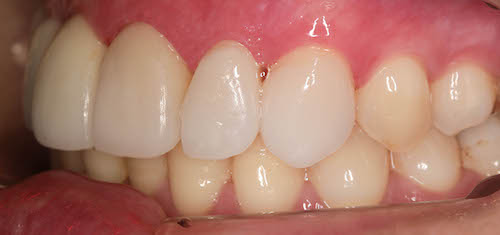
Одна из недавних ортопедических работ. К нам обратилась очень улыбчивая и жизнерадостная девушка с жалобой на потемнение переднего центрального зуба и не эстетичность улыбки. Старое протезирование было выполнено более 15 лет назад и это была пластмассовая коронка с подвеском в области отсутствующего бокового резца. В итоге нами была проведена профессиональная гигиена полости рта, снятие старой коронки с подвеском, имплантация в области бокового резца. После приживления импланта выполнено формирование десневого контура на временной коронке и итоговое протезирование безметалловой керамикой 6 ед. результат на лицо.
 

 d
До
p
После
d
До
p
После
d
До
p
После
d
До
v
p
После
d
До
p
После