Мост или имплант. Что выбрать?

К сожалению, с потерей одного или более зубов сталкивался каждый третий человек. Самой распространенной причиной потери зуба является несвоевременное лечение кариеса и его осложнений. Под осложнениями имеется в виду воспаление нерва зуба или самое не приятное это образования воспалительных кист на корнях зубов.

Рис.1 Киста на корнях нижнего 6-го зуба (зона затемнения)
Рис.1 Киста на корнях нижнего 6-го зуба (зона затемнения)

Такие кисты могут появляться и увеличиваться без симптомов боли, и начать давать о себе знать в острой фазе в виде отека, боли при накусывании, повышении температуры и т.д.

В запущенных случаях спасти зуб становится невозможным и его требуется удалить. Оставлять зуб с кистой нельзя. Это приводит к разрушению костной ткани и является очагом хронической инфекции. Такие проблемы с зубами могут приводить к снижению работоспособности, вялости, сонливости, снижению иммунитета организма.
В случае большого и особенно глубокого разрушения зуба под десну, спасение последнего тоже становится под вопросом. Такие разрушения случаются в случае несвоевременного покрытия зуба коронкой. Тонкие стенки зуба не выдерживают жевательную нагрузку и просто откалываются.
 

Рис.3 Скол стенки зуба
Рис.3 Скол стенки зуба 

При неправильном распределении жевательной нагрузки в даже здоровом живом зубе может просто пойти продольная трещина. То есть трещина прямо вдоль всего зуба к корню. Спасти такой зуб будет невозможно ни при каких условиях. Только удаление. А профилактика – это правильный прикус.
В итоге, с потерянным зубом нужно что-то делать. Затягивание с восстановлением приводит к атрофии костной ткани в данной области.

Рис.4 Атрофия кости и десны в области отсутствующего зуба
Рис.4 Атрофия кости и десны в области отсутствующего зуба

Так как больше кость не подвергается нагрузки, организм считает ее не нужной и запускает процессы разрушения. В след за костной ткани тем же процессам подвергается десна.
Из-за отсутствия зуба, рядом стоящие начинают брать на себя нагрузку больше, чем на них рассчитана. И как уже говорили, это может отрицательно повлиять на их долгосрочную стабильность и привести к перелому или продольным трещинам.
Природа не терпит пустоты. Именно поэтому если продолжительное время не заниматься восстановлением потерянного зуба, рядом стоящие начнут наклоняться в сторону дефекта.

Рис.6 Зубы рядом с дефектом наклонены.Нет места для протезирования
Рис.6 Зубы рядом с дефектом наклонены.Нет места для протезирования

А также выдвигаться верхний зуб, которому больше не с чем контактировать.
 

Рис.7 Верхний зуб выдвинулся вниз. Отсутствие места для протезирования
Рис.7 Верхний зуб выдвинулся вниз. Отсутствие места для протезирования

Такие перемещения зубов приводят к большим проблемам с зубами и даже могут повлиять на состояние височно-нижнечелюстного сустава. Щелчки и хруст – это первые сигналы разбалансировки работы сустава. При запущенных случаях, чтобы восстановить зуб, может понадобиться ношение брекетов. А это лишние финансовые и временные затраты.
Именно поэтому восстановлением потерянного зуба нужно заниматься сразу.
Варианты восстановления:
•    Имплантация
•    Мостовидная конструкция
Плюсы и минусы моста
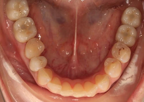
Мостовидная конструкция или по-простому «мост» используется в стоматологии в случае потери зубов, причем важным фактором является именно наличие хотя бы одного зуба после отсутствующего.

Рис.2 Наличие зуба после отсутствующего
Рис.2 Наличие зуба после отсутствующего

Этот фактор является ограничивающим в использовании данного метода. Отнесем его к минусам
Восстановление за счет моста не решает проблему с убылью костной ткани и десны в зоне отсутствующего зуба. Это тоже минус
Для выполнения такой конструкции необходимо задействовать рядом стоящие зубы. А в случае, если они полностью здоровы, их препарирование считается очень агрессивным методом. Минус №3. 
Повышенная нагрузка на опорные зубы. Минус №4.
Требует замены в среднем через 5 лет. Минус №5.
Если говорить о плюсах, то самое первое это отсутствие хирургического этапа. Так же этот метод восстановления быстрее чем имплантация. Требуется около 3х посещений к врачу стоматологу. Сравнительно дешевле, нежели имплантация. Позволяет достичь хорошего эстетического результата. Восстанавливает жевательную эффективность.
Плюсы и минусы имплантации.
Конечно же, самым первым минусом, считаем нужно отметить наличие хирургического этапа. Многие бояться операций, крови боли и вообще хирургов. Естественно, на сегодня имплантация является безболезненной и быстрой процедурой. Но страх никуда не уберешь.
Требуется время на приживление импланта. В среднем 3-5 месяцев. Кстати, вопрос о том, приживаются ли импланты или нет, на сегодня уже считается не актуальным. Все приживается.
Протезирование с использованием импланта выходит дороже чем мост.
Есть определенный относительный противопоказания, связанные с общими заболеваниями организма, как например сахарный диабет.
Но, если посмотреть на все это с другой стороны, то конечно же использования импланта в качестве восстановления зуба наиболее эффективный способ. В таком случае мы не наблюдаем прогрессивной убыли костной ткани и десны. Нет необходимости задействовать рядом стоящие зубы. Нагрузка распределяется равномерно на все зубы как это и задумано природой.
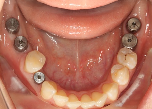
И в случае потери самых последних зубов и невозможности постановки моста, имплантация это единственный способ восстановить зубы в этом отделе в несъемном виде. 
 

Рис.8 Концевые дефекты.Поставлены импланты.Мост поставить нельзя.
Рис.8 Концевые дефекты.Поставлены импланты.Мост поставить нельзя.
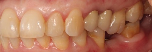
Рис.9 Постоянные керамические коронки на имплантатах
Рис.9 Постоянные керамические коронки на имплантатах

Как принять решение о методе восстановлении?
Естественно, самым верным способом является консультацию у хорошего стоматолога. Только врач может оценить все нюансы состояния зубочелюстной системы и организма в целом и порекомендовать Вам наиболее рациональное решение проблемы. В любом случае у нас в клинике мы всегда сможем решить проблему, с учетом финансовых, временных и эстетических запросов пациента.

Polza9