
Локальные и множественные рецессии — что это?
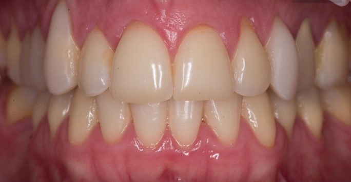
Рецессия десны — это процесс сокращения объема десневой ткани, который приводит к оголению шеек зубов. Рецессия — даже если локализована в области одного-двух зубов — всегда становится причиной эстетического дефекта и повышенной чувствительности во время употребления пищи высокой или, наоборот, низкой температуры. Соответственно, чем больше площадь рецессии, тем больший дискомфорт испытывает человек.
Подобные случаи — когда легче сказать, около скольких зубов рецессия не проявилась, чем наоборот, — не редкость в стоматологической практике. Они носят название множественных рецессий.
Почему возникают множественные рецессии
Как и в случае с другими патологиями пародонта, основными причинами рецессий являются:
- несоблюдение правил личной гигиены (что приводит к скоплению зубного налёта, в котором активно размножаются микроорганизмы);
- травматизация дёсен: из-за неправильного ухода (например, чрезмерного давления на зубную щётку), или из-за неравномерного распределения нагрузки на ткани пародонта;
- дефекты прикуса и врождённое, либо посттравматическое отсутствие некоторых зубов (как причина неравномерного распределения жевательной нагрузки).
- воспалительный процесс (гингивит — «воспаление десны», пародонтит).
И, если взаимосвязь, например, некачественной гигиены или травм с рецессией кажется очевидной, то последний пункт, касающийся локализованных и генерализованных воспалений, стоит пояснить.
Пародонтит и рецессии: в чем связь
Пародонтит (чтобы в дальнейшем вам было проще ориентироваться в стоматологических терминов: суффикс «-ит» в названии патологии указывает на то, что она имеет воспалительный характер) в дословном переводе это «воспаление пародонта», то есть тканей, окружающих зуб.
Пародонтитом называется генерализованное заболевание, то есть затрагивающее значительную площадь пародонта, которое начинает развиваться из локализованного заболевания — гингивита. Ключевой причиной как пародонтита, так и гингивита является несоблюдение правил личной гигиены, которое приводит к накоплению налёта (в запущенных случаях — нарастанию зубного камня) под десной.
Зубной камень вреден по двум причинам. Во-первых, он травмирует десну, во-вторых, — создает благоприятную для размножения микроорганизмов среду. Так, в ранку на десне, нанесенную разросшимся зубным камнем, может проникнуть инфекция, из-за чего образуется так называемый десневой карман — пространство между десной и зубом.
Если в десневом кармане активно размножаются микроорганизмы (часть из них — анаэробы, не требующие кислорода для процесса жизнедеятельности, — особенно опасны), они становятся причиной высвобождения веществ, провоцирующих развитие воспалительного процесса — медиаторов воспаления.
Непрекращающееся воспаление приводит к повреждению трофического аппарата зуба, то есть «перекрывает» пути, по которым к зубу доставляются питательные вещества. Из-за этого плотность прилегания дёсен к зубам уменьшается, десневые карманы становятся глубже, начинается процесс рецессии — сокращения десневых тканей — после которого может начаться уже сокращение костной ткани.
В запущенной форме пародонтит часто становится причиной потери зубов.
Смотри все что описала вначале правильно, но рецессии крупные всегда приводят к убыли костной ткани в последующем. Важно сказать что при формировании множественных рецессий не воспалительного харрактера стоит выяснить пиичину путенм компоексной диагностики в артикулятоое так как зачастую проблема перегрузки ведет к формированию генерализованной атрофии костной ткани. Больше про не воспалительную.
Лечение рецессии, вызванной пародонтитом
Чтобы устранить рецессию эффективно, необходимо для начала устранить причину её появления, то есть вылечить пародонтит. Такое лечение включает в себя:
- Устранение факторов риска. Кюретаж десневых карманов — их очистка и обеззараживание, профессиональная чистка зубов — удаление налета и зубного камня вручную или с помощью ультразвуковых инструментов, а также обработка корней зубов. Последнее подразумевает удаление поражённых частей эмали и дентина и сглаживание корня.
Кроме факторов риска, которые связаны с уже имеющимся заболеванием, имеет смысл устранить также факторы, связанные с образом жизни: отказаться от курения и алкоголя, начать правильно питаться и т.д.
- Системную терапию антибиотиками. Предотвратить размножение токсичных микроорганизмов при пародонтите нередко возможно только с помощью воздействий как «снаружи», так и «изнутри». Воздействие «изнутри» назначается в случае, когда пародонтит спровоцировал появление глубоких десневых карманов, и предполагает курсовой приём антибиотиков в таблетках.
- Хирургическое лечение и закрытие дефектов. Объем и характер хирургического вмешательства зависит от степени поражения пародонта. Например, одним из вариантов лечения пародонтита является удаление десневого кармана и формирование нового костного и десневого контура — таким образом, чтобы десна плотно прилегала к зубу, и пациент в дальнейшем мог самостоятельно проводить качественную очистку зубов.
Когда поражение пародонта оказывается глубоким — настолько, что сокращение объема кости является препятствием излечению — проводится хирургическая пересадка костной ткани: такая операция стимулирует рост собственной кости.
На поздних стадиях — когда, например, зубы уже подвержены расшатыванию — может потребоваться шинирование, которое будет ограничивать подвижность зубов.
- Обучение правильному уходу за зубами. Пациент, перенесший пародонтит, находится в зоне риска и, чтобы болезнь не вернулась, ему необходимо научиться новым правилам ухода за зубами. Для начала — качественно чистить зубы во время лечения и после. Гигиена полости рта во время лечения пародонтита может включать в себя обработку раствором хлоргексидина десён и десневых карманов. Ежедневная же гигиена предполагает, кроме чистки зубов щёткой (её также нужно подбирать внимательно, лучше всего — вместе со стоматологом), чистку междузубного пространства нитью и чистку резиновым стимулятором дёсен верхнего края зубов.
Также пациентам, лечащим и вылечившим пародонтит, рекомендовано проходить раз в квартал осмотр и, при необходимости, профессиональную чистку зубов.
Забывать о посещении гигиениста и о профилактическом осмотре не стоит и тем, кто никогда с пародонтитом не сталкивался — для того, чтобы с ним никогда не столкнуться и в дальнейшем.