Виниры и кривые зубы

Стать обладателем идеально ровных и белых зубов мечтает сейчас каждый. Естественно, мы говорим о людях, которые заинтересованы в повышении качества своей жизни. В Америке проблемой здоровья зубов и правильности прикуса начинают заниматься еще в детском возрасте и относятся к этому как к обязательной долгосрочной инвестиции в свое будущее.

Само слово виниры сейчас можно услышать на каждом углу. Вокруг него много разговоров, кто-то за, кто-то категорически против. Попробуем разобраться, что же это на самом деле, почему это так популярно и почему каждый врач предлагает их поставить

Сам по себе винир представляет из себя тонкий лепесток керамики, который можно приклеить на зуб с наружной стороны и тем самым изменить его форму, размер и цвет практически на всю жизнь.

Вроде все звучит достаточно просто и ясно. И с такими мыслями пациенты с кривыми зубами обращаются к стоматологу, в надежду что через пару недель их улыбка станет идеальной.

Однако все не так просто. Исправление кривых зубов за счет виниров имеет место быть, но очень важно учитывать степень кривизны. Если зубы стоят с минимальными поворотами, нет грубых ярко выраженных наклонов, зубы не находят один на другой, и при этом ваш прикус приближен к функциональной норме, то тогда ДА. Поставить виниры и исправить за счет этого кривые зубы можно.
 

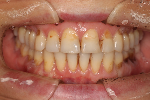
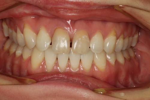
Рис.1 Начальная ситуация зубов и прикуса
Рис.1 Начальная ситуация зубов и прикуса
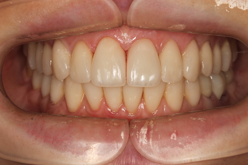
Поставленные виниры
Рис.2 Поставленные виниры
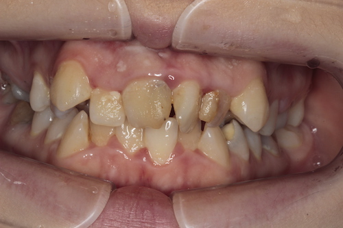
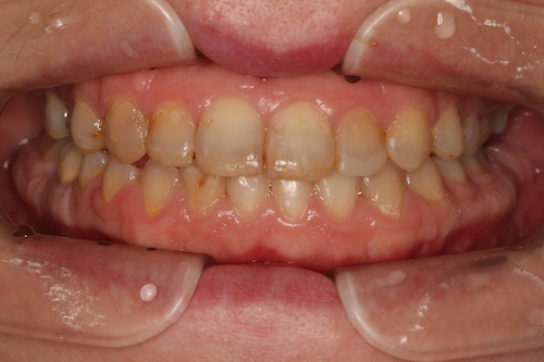
Рис.3 На такие зубы нельзя сразу поставить виниры
Рис.3 На такие зубы нельзя сразу поставить виниры


Почему это так важно?
В случае сильных поворотов и неровностей зубов врачу придется очень агрессивно стачивать выпирающие стороны зубов. Это может привести к полному стачиванию эмали, что противопоказано при выполнении виниров. Потому что хорошая фиксация такой керамической накладки обеспечивается именно за счет соединения с эмалью зуба. А хуже всего при таком агрессивном стачивании можно задеть нерв и тогда его придется удалять. Именно поэтому ни один думающий стоматолог при очень кривых зубах не возьмется за выполнение виниров.

Почему прозвучала фраза «прикус, приближенный к функциональной норме»?
Оказывается, ровно стоящие зубы, даже с не очень красивой формой и цветом, не означают что у вас правильный прикус.
Имеется в виду, что в процессе жевания эти ровные зубы могут неправильно контактировать друг с другом, а значит поставленные на них виниры просто сколются при первом приеме пищи. Правильно изготовленный винир, корректно зафиксированный в полости рта именно к эмали зуба, хорошие контакты между зубами верхней и нижней челюсти гарантируют стабильность виниров. И никаких самопроизвольных сколов не будет.

Что же тогда делать тем, у кого кривые зубы и сходу поставить виниры нельзя? Большого повода для расстройства быть не должно. В таком случае первым шагом к заветной идеальной улыбке будет ортодонтическое лечение. Врач при помощи брекетов сможет сделать зубы ровными и создать правильные контакты между зубами верхней и нижней челюсти. Такая предварительная подготовка колоссально облегчит последующее протезирование при помощи виниров и будет гарантировать долгосрочную стабильность выполненной работы.

Что касается стоимости виниров?
Если затрагивать финансовый вопрос, то важно знать, что виниры бывают композитными и керамическими. Естественно первое различие между ними — это материал изготовления. Самыми высоко-эстетичными, прочными и долгослужащими являются именно керамические виниры. Именно работая с керамикой техник может выполнить высокохудожественную работу и сделать ее не отличимой от естественного зуба. Это достигается благодаря игре слоев керамики, нанесения на нее прозрачных красок и рельефа естественного зуба. Такая ювелирная авторская работа на сегодня в среднем стоит около 60 т. рублей.
 

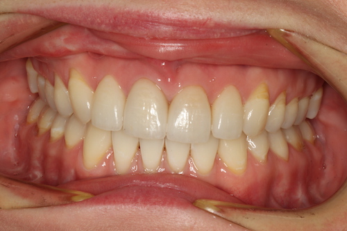
Рис.4 Ситуация до
Рис.4 Ситуация до
Рис.5 После установки 4 ед. керамических виниров
Рис.5 После установки 4 ед. керамических виниров

Композитные виниры являются отличной альтернативой в случае необходимости снижения финансовой нагрузки. Они так же выполняются по индивидуальной форме с применением лабораторного композита, который прессуется в специальных печах. К сожалению, получить такую же микро эстетику рельефа и прозрачности зуба на композитном варианте на сегодня не возможно. И важно помнить, что со временем композит стирается. А также в отличии от керамики может иногда менять цвет в ответ на воздействие естественных красителей как чай, кофе.
 

Рис.6 Ситуация до
Рис.6 Ситуация до
Рис.7 композитные виниры
Рис.7 композитные виниры

Почему все стоматологи рекомендуют поставить виниры?
На самом деле далеко не все. Хорошему думающему стоматологу, проявляющему заботу именно о здоровье ваших зубов, эстетические нюансы беспокоят меньше всего. Ему важно чтобы ваши зубы прослужили вам максимальное количество времени и приносили минимально проблем со здоровьем в целом. А срок службы зубов зависит во многом от их формы и контактов друг с другом. Если же брекетами можно изменить контакты между зубами, то восстановить утраченную, например за счет стираемости, форму они не смогут. Именно поэтому думающий стоматолог предложит вам восстановить просто то, что вы стерли в процессе жизни, и ничего больше. Ну а за одно и изменить цвет к лучшему за счет прекрасно выполненных виниров не приятное ли дополнение? В любом случае, для итогового принятия решения, всегда рекомендуется предварительная консультация врача и составление индивидуального плана лечения с учетом всех особенностей именно ваших зубов.

Polza2