Восковое и цифровое планирование зубов. Что это и зачем?

В восстановлении зубов будь это коронки, виниры, накладки, вкладки всегда важно планирование формы, размера зуба и то, как это в последующем будет жевать. 

Для пациента конечно же самым важным параметром и то, что в принципе пациент может оценить это эстетика будущей работы. Функциональные аспекты и выполнение работы на долгосрочную перспективу — это прерогатива хорошего врача. Действительно оценить правильно и хорошо ли сделана работа пациенту очень сложно, да и практически невозможно, так как он вообще не знает на что нужно обратить внимание. Он специалист в другой области. 

На сегодня в стоматологии большое внимание уделяется диагностике и планированию крупных ортопедических работ. Существует традиционный восковой метод планирования и набирающий сейчас все большие обороты и внедряющийся в повсеместную практику всех враче это цифровой метод.

Давайте разбираться что это и какие есть преимущества.

Восковой метод представляет из себя выполнение на гипсовых моделях челюстей зубным техником формы, размера и смыкания зубов за счет технического воска.

Рис.1 Зеленым цветом выполнено восковое моделирование зубов
Рис.1 Зеленым цветом выполнено восковое моделирование зубов


Для этого требуется высокая квалификация техника, понимание физических законов движения челюстей, анатомии зубов и височно-нижнечеюстного сустава, и естественно доля творчества.

В последующем то, что техник смоделировал на гипсовых моделях нужно примерить в полость рта пациента и очинить соответствует ли это действительности. Для этого переноса используются специальные силиконовые или прозрачные ключи. Они изготавливаются по новой смоделированной форме зубов. В стоматологическом кресле с помощью таких ключей-переносчиков и быстротвердеющей композитной пластмассы можно перенести восковой план в полость рта. Этот этап очень важен в начале любой эстетической и функциональной работе. Его можно рассматривать как этап утверждения проекта по постройки нового дома. Пациент на данном этапе может оценить форму, размер, пропорцию смоделированных зубов и выразить свои пожелания по их изменению. Врач на данном этапе так же обращает внимание на эстетические составляющие, и так же оценивает корректность смыкания и жевания такой модели зубов. 

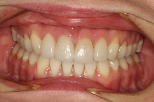
Рис.2 Ситуация до
Рис.2 Ситуация до
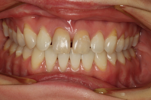
Рис3. Примерка планирования формы
Рис3. Примерка планирования формы
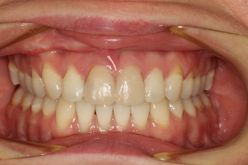
Рис.4 Итоговая работа по утвержденному ранее плану
Рис.4 Итоговая работа по утвержденному ранее плану



Интересный нюанс, что на данном этапе никак не оценивается цвет будущих зубов, так как этот этап посвящен оценке именно размеру, форме и пропорциям. И пластмасса не может передать всех нюансов эстетики цвета как у керамики.
В случае необходимости внесения коррекций все пожелания и пациента, и врача передаются зубному технику и проверяются на повторном приеме. Только после утверждения итогового планирования может запускаться работа по изготовлению итоговых постоянных ортопедических конструкций.

Что же тогда представляет из себя цифровое
планирование?

Благодаря наличию на сегодня цифровых сканеров и специализированных программ, а также возможности выполнения высококачественных фотографий улыбки пациента, спланировать форму, размер и пропорции зубов можно в виртуальном пространстве.

Рис.5 Цифровая модель зубов
Рис.5 цифровая модель зубов

Такой подход позволяет уйти от снятия слепков на данном этапе, что является огромным плюсом в комфорте для пациента. Благодаря большой библиотеке зубов, где представлены все возможные формы и размеры, программа позволяет смоделировать улыбку в очень короткие сроки. И увидеть пациенту будущую работу на своей собственной фотографии.

Рис.6 Этап планирования формы зубов в специализированной программе
Рис.6 Этап планирования формы зубов в специализированной программе


К сожалению, такие цифровые планирования на сегодня лимитированы в рамках анализа именно функционального аспекта будущей работы. И в итоге все равно требуют переведения цифрового планирования в что-то осязаемое, то есть в отпринтованную 3D модель. Но наука не стоит на месте и будет развиваться до невероятных масштабов.

В любом случае нужно помнить, что ни одна программа или робот не смогут заменить интеллект человека. Они никогда не смогут начать думать. Они могут выполнять только четко поставленные задачи. В этом всегда будет большое преимущество работы человека как руками, так и головой перед электронными устройствами. А последние же должны просто помогать человеку и облегчать его деятельность.

В нашей практике мы безусловно используем передовые цифровые технологии, но также мы не забываем думать над каждым своим шагом в работе, что позволяет нам быть уверенными в стабильности каждой ортопедической работы вне зависимости от ее объема.

Polza 4